Ich habe dir in meinem Beitrag „Komplikationen nach der Transplantation“ schon erzählt, dass es einige Probleme nach meiner Herztransplantation gab. Ein Opfer des Ganzen, war mein rechter Fuß.
Nekrosen an den Zehen
Als ich aus dem Koma erwachte, sah ich, dass einige meiner Zehen am rechten Fuß schwarz waren. Ich erschrak natürlich und dachte nur „Oh mein Gott, was ist mit meinen Zehen los“. Mit der Zeit erfuhr ich, dass ich während der Transplantation stark gefäßverengende Medikamente erhalten hatte. Dies war nötig, um das neue Herz zum laufen zu bringe

Diese Gefäßverengung hatte aber zur Folge, dass meine Zehen nicht mehr genug mit Blut/Sauerstoff versorgt wurden. So starben einige Teile meiner Zehen ab und wurden schwarz. Es dauerte ungefähr ein dreiviertel Jahr, bis die Nekrosen abfielen. Bei einem Zeh fehlt jetzt tatsächlich ein Stück, die anderen sind ganz gut wieder nachgewachsen.
Critical illness Polyneuropathie – eine weitere Komplikation
Durch den schweren Eingriff der Herztransplantation entwickelte ich eine Sepsis. Diese wiederum brachte eine CIP – Critical illness Polyneuropathie mit sich. Darunter versteht man eine Erkrankung des peripheren Nervensystems. Das deutlichste Symptom bei der CIP ist die schwere, schlaffe, atrophische Lähmung, die man dabei entwickelt. Und die Beeinträchtigung der Nerven.
Wenn die Nerven verrücktspielen
Der rechte Fuß war von der CIP am meisten betroffen. Er war über den Maßen schmerzempfindlich. Jede Berührung war unerträglich für mich. Sogar ein dünnes Laken oder einen Socken über dem Fuß bereitete mir Schmerzen. Auch Gehen war damals nur unter großen Schmerzen in einem Spezialschuh machbar. Die Physiotherapeuten konnten den Fuß fast nicht anfassen.
Bis heute habe ich Probleme damit, wenn der Fuß unter einer schweren Decke liegt oder in einem zu engen Schuh steckt. Die Nervenschädigung ist leider irreparabel. Meist erholen sich Nerven ganz gut, es dauert nur seine Zeit. Bei der letzten neurologischen Messung zeigte sich aber, dass sich nach fast sechs Jahren immer noch nichts verbessert hat.
Dazu gesellte sich noch ein Spitzfuß
Leider schaffte es das Krankenhauspersonal nicht, meinen Fuß während des Komas korrekt zu lagern. So fiel er immer nach vorne und wurde zum Spitzfuß.
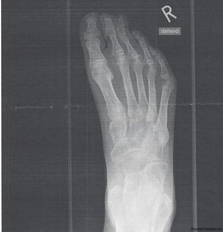
Dies führte mit der Zeit zu einer Verkürzung der Achillessehne, sowie anderer Sehnen und Muskeln. Das Ende vom Lied war, dass ein normaler Gang nicht mehr möglich war. Mit der Zeit wurde diese Verkürzung so schlimm, dass sich die Zehen untereinander stellten. Auf dem Röntgenbild kannst du vielleicht sehen, dass sich alles nach Links neigt.
Es ist sehr schwierig zu gehen, wenn die Zehen untereinander liegen. Hinzu kam außerdem noch, wie oben beschrieben, die schmerzhafte Nervenschädigung. Vielleicht kannst du dir vorstellen, wie sehr ich unter dieser Behinderung litt und bis heute leide.

Auf der Suche nach einem Spezialisten für meinen Fuß
Mein Ziel war es deshalb natürlich, die Schmerzen loszuwerden und den Fuß einigermaßen normal wiederzubekommen. Darum suchte ich mir Spezialisten für Fuß & Sprunggelenkchirurgie. Ich musste einige Stationen abklappern, bis ich endlich jemand fand, der sich mit meinem komplizierten Fuß beschäftigen wollte.
Schönklinik Harlaching
Die nächstgelegenste Klinik war die Schönklinik in Harlaching. Eine Spezialklinik für Orthopädie, die immer Top-Bewertungen in den Medien erhält. Ich stellte mich und meinen Fuß also 2014 vor und schilderte mein Anliegen. Da das Krankheitsbild meines Fußes ein sehr außergewöhnliches und die Herztransplantation erst knapp ein Jahr her war,wollten die Ärzte dort keinen Eingriff wagen. Mir wurden lediglich Einlagen,ein orthopädischer Maßschuh sowie Physiotherapie ans Herz gelegt. Nicht mal verschrieben. Ich war wirklich sehr enttäuscht.
Prof. Dr. med. H.
Einer meiner Physiotherapeuten empfahl mir dann zu Professor H. zu gehen. Einem langjährigen Fuß- und Sprunggelenks-Spezialisten. Das tat ich auch. Dort habe ich die Praxis nicht nur enttäuscht, sondern auch verärgert verlassen. Der Professor hatte zwar ein paar Ideen was man machen könnte, sagte aber, da ich dialysepflichtig wäre, könnte er das nicht machen. Dies war zwar enttäuschend, aber in Ordnung.
Zur Enttäuschung gesellte sich Wut
Dann sagte er, er könnte mir einen orthopädischen Maßschuh verschreiben. Da ich den aber sowieso nicht anziehen würde, macht er das auch nicht. Er könnte mir also nicht helfen.
Ich finde es richtig gut, wenn es Ärzte gibt, die Spezialisten auf ihrem Gebiet sind. Leider vergessen viele davon, dass sie es mit Menschen zu tun haben. Fingerspitzengefühl und Menschlichkeit findet man selten. Ich habe von meinem Hausarzt auf meine Bitte hin so einen Schuh verschrieben bekommen und durchweg ein Jahr lang jeden Tag bis zu meiner OP getragen. Und zwar deshalb, weil er mir sehr geholfen hat!


Dr. Sch. in Weilheim
Ein anderer meiner Physiotherapeuten riet mir, zu Dr. Sch. in Weilheim zu gehen. Und so tat ich es. Dr. Sch. war zumindest sehr bemüht eine Lösung zu finden. Er hatte ähnliche Ideen wie Professor H.. Trotzdem riet er mir, vor einer Operation einen der besten Spezialisten in Deutschland aufzusuchen. Er meinte , da das Krankheitsbild meines Fußes so speziell sei, wäre es ratsam, lieber einen Arzt mehr aufzusuchen und so das Beste für mich und meinen Hax rauszuholen. Er hatte auch eine Adresse für mich. Allerdings hat sich dieser Arzt auf Kinder spezialisiert, weshalb ich ihn nicht aufsuchte.
Atos Klinik Heidelberg
Es verging einige Zeit und die Beschwerden mit dem Fuß wurden immer schlimmer. Ich fand bei meiner Recherche zu diesem Thema einen Spezialisten in der Atos-Klinik Heidelberg. Eine Privatklinik, dies immer wieder Spitzenauszeichnungen im Bereich Fußchirurgie bekommen hatte. Da ich mit den von der Krankenkasse zugelassenen Ärzten und Kliniken so schlechte Erfahrungen gemacht hatte, beschloss ich mich dort auf eigenen Kosten vorzustellen.
Mein Mann und ich vereinbarten also einen Termin in der Klinik und buchten Bahn, Leihwagen und Hotelzimmer. In der Klinik angekommen mussten wir nicht lange warten. Dr. W. betrachtete meinen Fuß und hörte sich meine Beschwerden an. Dann erklärte er mir ganz konkret die Operation, die er sich vorstellte. Außerdem fragte er mich, was denn die „Anderen“ führ ein Problem hätten. Es ist doch deutlich was gemacht werden muss.
Eine OP – alles kein Problem
Das erstaunte mich doch sehr. Da laufe ich von einem zu anderen und alle weigern sich meinen Fuß zu operieren und kaum gehe ich in eine Privatklinik ist alles kein Problem?! Ich ließ mir also einen Kostenvoranschlag zuschicken. Wir zahlen an diesen zwei Tagen knapp 500 Euro für alles zusammen, waren aber mit dem Ergebnis vorerst zufrieden.
Wie es weitergeht erzähle ich dir nächste Woche an dieser Stelle!
Hallo,da geht es mir ja noch richtig gut.ich habe „nur zittern,ständig schreckliche Krämpfe in fingen und Beinen ,mein Geschmacksempfinden ist gestört,ich habe Schmerzen im ganzen Brustkorb und bekomme nicht richtig Luft obwohl die Lunge wohl im ist..diese Dinge hat vor der Transplantation niemand angesprochen.jetzt ist es eben so und man muß weitermachen.wünsch alles gute mit dem Fuß LG b.n.